endodontie / wurzelbehandlungen
Was ist Endodontie?
Die Endodontie ist ein Fachgebiet innerhalb der Zahnmedizin, welches sich mit der Diagnose und der Therapie von Erkrankungen des Zahnnervs im Innern des Zahnes (Pulpa) befasst.
Dringen Bakterien in die Pulpa ein, entsteht eine Pulpitis (Entzündung des Zahnnervs). Mögliche Ursachen einer Pulpitis können eine tiefe Karies, nervnahe Füllungen, Zahnrisse, Frakturen, Trauma oder ein Spalt zwischen dem Zahn und der Füllung oder einer Krone sein.
Wird eine Entzündung nicht rechtzeitig behandelt, gelangen die Bakterien über die Wurzelspitze in den Kieferknochen und ein Abszess kann sich entwickeln.
Die einzige Möglichkeit dies zu verhindern und den Zahn zu erhalten ist die Wurzelbehandlung.
Was wird bei einer Wurzelbehandlung gemacht?
Bei einer Wurzelbehandlung wird der erkrankte oder abgestorbene Zahnnerv entfernt. Die komplexen Wurzelkanalsysteme werden mit speziellen Feilen aufbereitet, gereinigt und gründlich desinfiziert. Anschliessend erfolgt eine bakteriendichte Füllung der Hohlräume im Wurzelbereich.
Das dentale Mikroskop
Das Mikroskop beeinflusst stark den Erfolg einer endodontischen Behandlung.
Bei einer 40-fachen Vergrösserung können alle existierenden Wurzelkanäle eines Zahnes viel genauer lokalisiert und bearbeitet werden. Des Weiteren können Frakturen, Risse und diverse Variationen und Erkrankungen der Pulpa im Zahn viel besser visualisiert werden. Hoffnungslose Zähne können so viel genauer und früher erkannt werden.
Erfolgsprognose wurzelbehandelter Zähne
Verschiedene moderne Behandlungsmethoden und Techniken sowie Vergrösserungshilfen wie das Mikroskop ermöglichen es uns eine viel bessere Prognose für wurzelbehandelte Zähne zu erreichen.
Die Erfolgsraten von Wurzelbehandlungen mit dem Mikroskop liegen bei 95% nach 10 Jahren anstelle von 80% ohne Vergrösserungshilfen.
Endodontie, eine der letzten Möglichkeiten der Zahnerhaltung
Die Anzahl der endodontischen Behandlungen steigt stetig zu. Dagegen geht die Anzahl der Extraktionen (Zahnentfernungen) deutlich zurück. Diese Entwicklung in der Zahnmedizin zeigt ganz eindrücklich die steigende Nachfrage nach dem Erhalt der eigenen Zähne.
Falls durch endodontische Massnahmen der Zahn nicht erhalten werden kann, bleibt die Extraktion als letzte Therapiemöglichkeit. Die entstandene Zahnlücke kann mit einem Implantat oder einer Brücke versorgt werden.
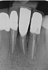
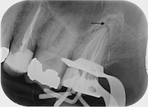
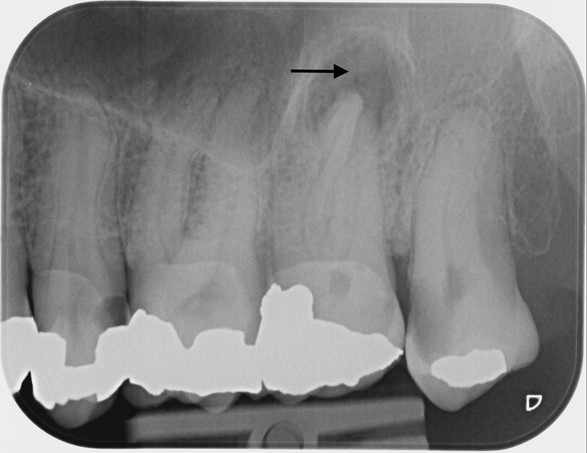
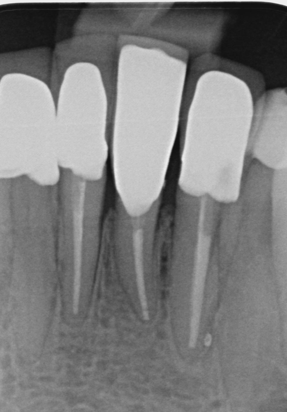
Fallbeispiele
Zum Vergrössern klicken