ästhetische zahnmedizin
"Ein Lächeln ist die eleganteste Form der Welt die Zähne zu zeigen"
Werner Finck
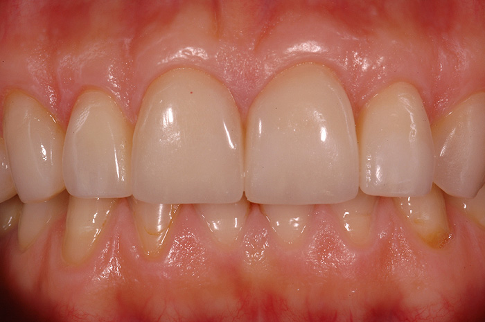
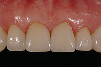
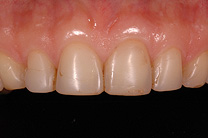
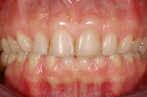
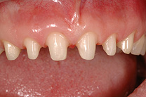
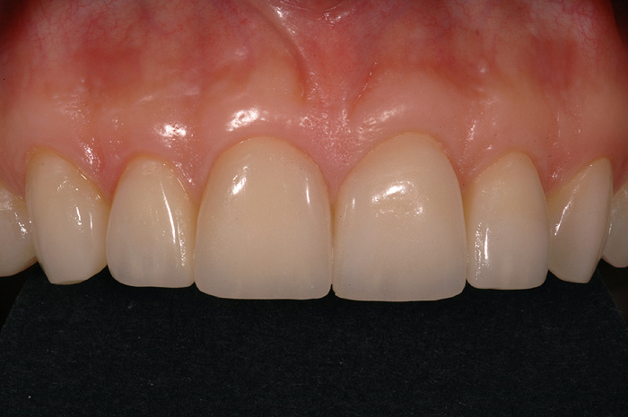
Alles beginnt mit einem Lächeln. Dem harmonischen Zusammenspiel zwischen Lippen, Zahnform und -farbe wird dabei eine zentrale Bedeutung zugemessen.
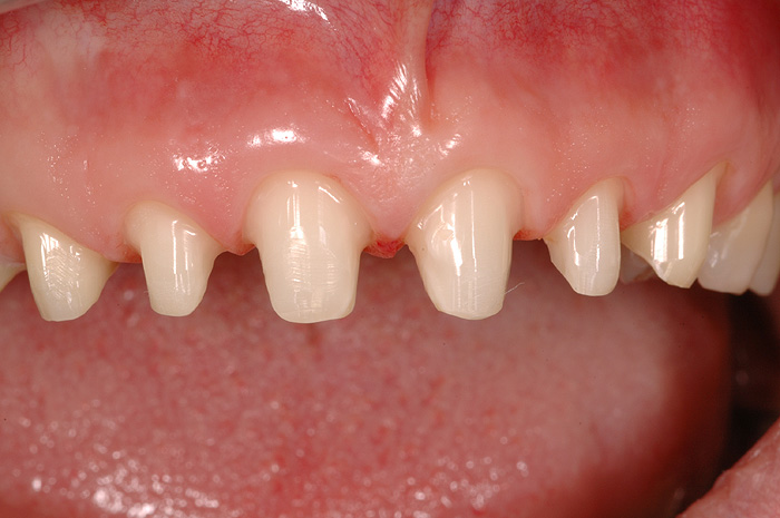
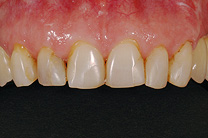
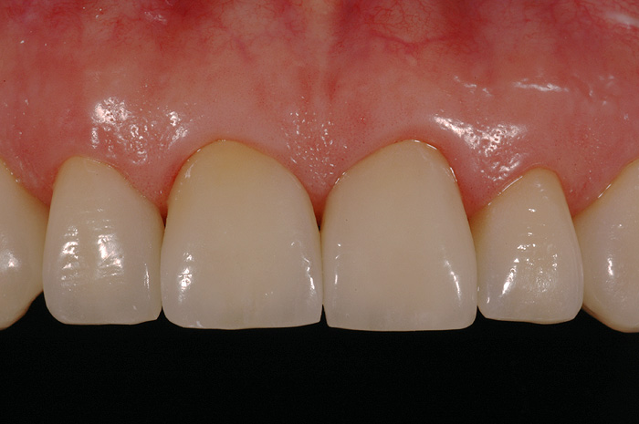
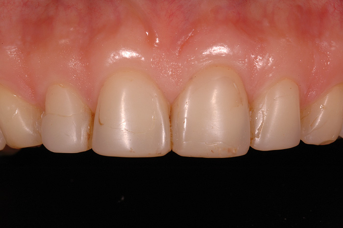
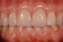
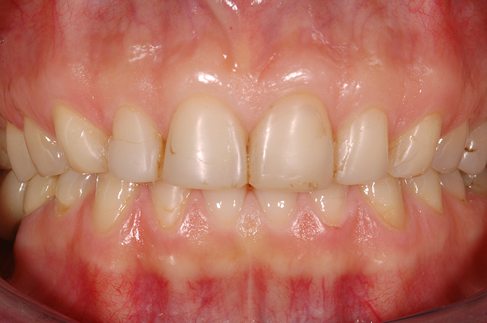
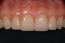
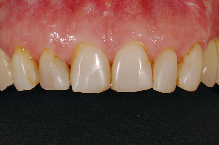
In der Ästhetischen Zahnmedizin spielt sowohl die weisse als auch die rote Ästhetik eine Rolle.
Die weisse Ästhetik beinhaltet die Zahnfarbe, die Zahnform sowie deren Stellung. Hier ist die Zusammenarbeit mit dem Zahntechniker sehr wichtig. So kann es sein, dass Sie zur Farbwahl oder bei der Herstellung von Kronen-Brückenarbeiten direkt in sein Labor gehen müssen um das bestmögliche Resultat zu erhalten. Oft muss auch mit Langzeitprovisorien gearbeitet werden, will man ein aussergewöhnliches Resultat erreichen.
Manchmal ist es auch notwendig im Bereich des Zahnfleisches (rote Ästhetik) Korrekturen vorzunehmen. Insbesondere bei einem Defizit an Weichgewebe, bei einem unregelmässigem Zahnfleischverlauf oder bei Rezessionen im Zahnhalsbereich (z.B. nach kieferorthopädischen Behandlungen oder durch ein Putztrauma mit harter Zahnbürste). Diese Zahnfleischkorrekturen werden mittels eines mikrochirurgischen Eingriffes vorgenommen. In schwierigen Fällen muss vom Gaumen ein Zahnfleisch-Transplantat entnommen werden und auf die entblössten Zahnhälse oder in den Defekt transplantiert werden.
