rekonstruktive zahnmedizin
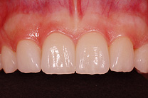
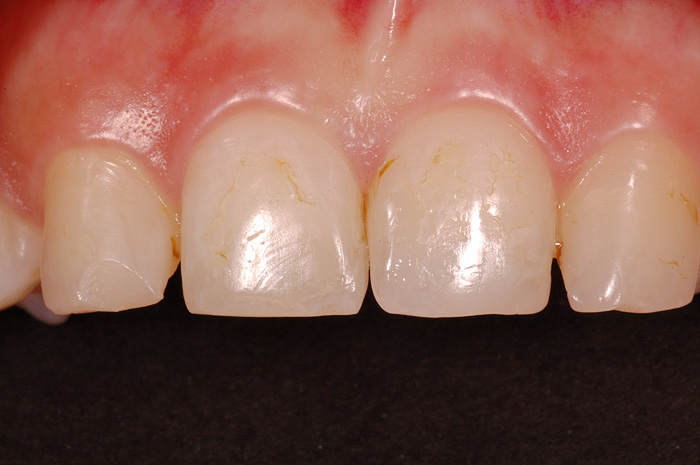
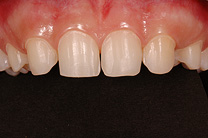
Vollkronen
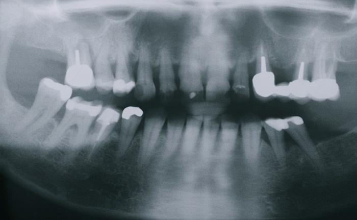
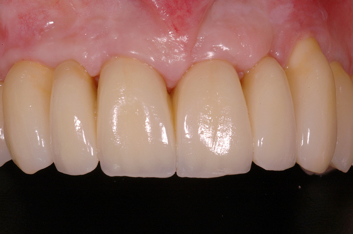
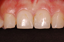
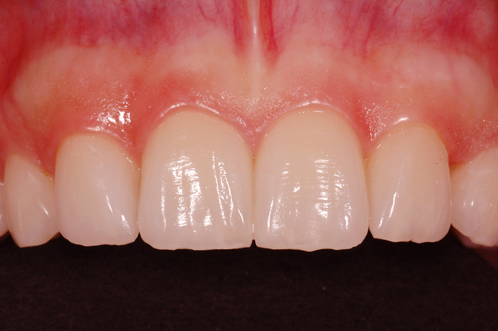
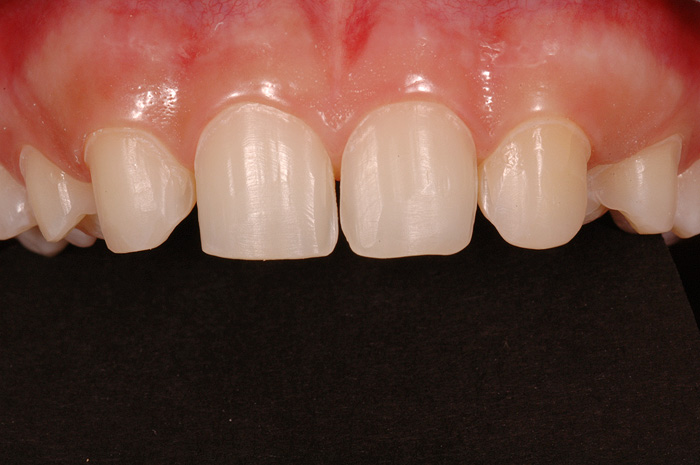
Ist ein Zahn sehr stark oder bis unter das Zahnfleisch zerstört, kann er nicht mehr mit einer herkömmlichen Kunststofffüllung versorgt werden. Der noch vorhandene Restzahn lässt sich nur noch durch eine Krone restaurieren. Sie besteht aus einem individuell gegossenen Metallgerüst, auf welches in mehreren Schichten Keramik aufgebrannt wird oder kann als rein vollkeramische Krone hergestellt werden, was zu einer noch höheren Ästhetik führt.
Die Restauration eines Zahnes mit einer Krone ist aufwendig. In einem ersten Schritt wird Karies und das alte Füllungsmaterial vollständig entfernt und der Zahnstumpf wieder aufgebaut. Eine präzise Abformung der Situation dient dem Zahntechniker als Grundlage für ein Gipsmodell, auf dem er die Krone herstellt. Sofern Farbe und Form perfekt stimmen, kann die Krone in einer zweiten oder dritten Sitzung beim Zahnarzt zementiert werden. Für die Zeit zwischen Präparation des Zahnes und dem definitiven Zementieren der Krone wird der Zahn mit einem individuell hergestellten Provisorium versorgt.
Brücken
Muss ein Zahn entfernt werden, hinterlässt er eine Lücke. Diese kann mit einer Brücke wieder geschlossen werden. Eine Brücke ist ein zahngetragener, fest zementierter Zahnersatz. Sie besteht in der Regel aus zwei Kronen und einem oder mehreren Zwischengliedern. Bei einer bestehenden Lücke muss immer zwischen einer Brückenversorgung und einer Implantatlösung gut abgeklärt und abgewogen werden.
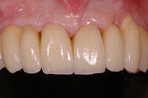
Fallbeispiel
Zum Vergrössern klicken
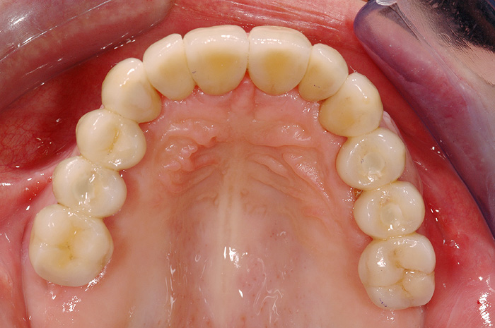
Gesamtrekonstruktionen
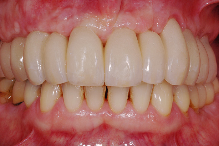
Fehlen in einem Kiefer alle Zähne oder sind die meisten Zähne in einem schlechten, nicht erhaltungswürdigen Zustand, ist es sinnvoll eine Gesamtrekonstruktion anzufertigen. Diese kann sowohl dental als auch implantat-getragen sein. Die Gesamtrekonstruktionen sind zeitlich wie finanziell aufwendig, bestechen aber durch ihre Ästhetik und die Langlebigkeit. Der Vorteil ist, dass viele kleine Arbeiten und Reparaturen in den nächsten Jahren wegfallen werden.
Fallbeispiel
Zum Vergrössern klicken
